Actualitate
Mare atentie cum iti sufli nasul! O femeie s-a ales cu o fractura la ochi

Femeia se afla la serviciu, cand, imediat dupa ce si-a suflat nasul mai puternic decat de obicei, si-a pierdut vederea la ambii ochi. Doua ore mai tarziu, din nara stanga a inceput sa curga sange. In plus zona dimprejurul ochiului stang a inceput sa se umfle. Chiar si asa, femeia nu s-a dus la spital.
Abia cand a vazut ca vederea nu revine complet, iar durerile de cap si gat, in partea stanga, devenisera insuportabile, a mers la Urgente.
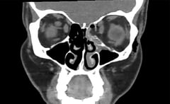
Investigatiile imagistice au aratat o fractura in cavitatea oculara stanga. Practic, un os al orbitei se rupsese, se arata intr-un raport publicat de jurnalul BMJ Case Reports, preluat de Live Science.
Desi astfel de fracturi sunt mai frecvente decat ne imaginam, in general sunt cauzate de traume – cand cineva este pocnit in ochi sau lovit de o minge, de exemplu, explica medicul Sam Myers, chirurg la Spitalul Universitar North Middlesex, din Londra, cel care a ingrijit-o pe femeie.
Desi e adevarat ca se creeaza destula presiune atunci cand este suflat nasul, un astfel de caz nu a mai fost intalnit pana acum. Si totusi, cum a fost posibil sa se intample asa ceva in cazul femeii?
Accidentul pare sa fi aparut intr-un intreg context. Potrivit medicului, femeia era racita de cateva zile, iar in tot acest timp si-a tot suflat nasul. Iar felul in care a facut asta a fost crucial. Concret, de cate ori isi sufla nasul, femeia acoperea cate o nara, curatandu-le, astfel, pe rand. Procedand asa, presiunea la nivelul sinusurilor a fost dublata.
In plus, a mai mentionat medicul, pacienta fuma cate un pachet de tigari zilnic. Potrivit acestuia, fumatul schimba presiunea exercitata la nivelul sinusurilor, care sunt situate langa cavitatile oculare, marind predispozitia la astfel de fracturi.
Apoi, se poate ca femeia sa fi avut o predispozitie de a avea oase fragile, asa ca oasele ei sunt mai vulnerabile la schimbarile de presiune.
Prin urmare, dat fiind toti acesti factori, simplul gest de a-si sufla nasul a echivalat cu un pumn primit in zona arcadei, asa putand fi explicata fractura.
In ceea ce priveste starea femeii, aceasta si-a petrecut noaptea la spital, dar nu a fost nevoie de operatie. I s-au administrat calmante si i-au fost prescrise antibiotice, pentru a fi prevenita o eventuala infectie. Din fericire, vederea nu i-a fost afectata permanent de fractura.
Citeste si Povestea incredibila a unei femei care a intrat la menopauza la 11 ani (Video)
Urmareste Ziare.com si pe Facebook! Comenteaza si vezi in fluxul tau de noutati de pe Facebook cele mai noi si interesante articole de pe Ziare.com.
-
Uncategorizedacum 2 săptămâni
• Dyson lansează HushJet™ Purifier Compact: purificare puternică, acum în format compact și ultra-silențios
-
Actualitateacum 3 săptămâniTextura care arată bine azi poate ceda repede: alginatul de sodiu în formule sensibile după prima săptămână
-
Uncategorizedacum 2 săptămâniProiectele complexe de software, AI și data duc RebelDot pentru a treia oară în FT1000, topul Financial Times al companiilor europene cu cea mai rapidă creștere
-
Uncategorizedacum 2 săptămâniDyson lansează Dyson HushJet™ Mini Cool: ventilatorul portabil care combină fluxul de aer puternic cu designul elegant
-
Uncategorizedacum 2 săptămâniDe Paște, amintirile ajung instant la cei dragi HONOR Connect elimină barierele dintre Android și iOS și simplifică transferul de fișiere între dispozitive
-
Actualitateacum 3 săptămâniGlafuri PVC de interior pentru ferestre mici – Cum le facem să pară mai mari
-
Uncategorizedacum 3 săptămâniVlad Buzoianu intră pe piața spălătoriilor auto și lansează Washzilla, proiect care pornește la Cluj după o investiție de 500.000 de euro
-
Uncategorizedacum 2 săptămâniDe Ziua Internațională a Animalelor de Companie, HONOR te ajută să surprinzi cele mai frumoase momente alături de companionul tău



