Actualitate
Un adolescent din Las Vegas a murit după ce s-a infectat cu o amibă care mănâncă creierul. Experţii îndeamnă la prudenţă
Un adolescent din Las Vegas a murit după ce a contractat o amibă care mănâncă creierul, experţii afirmând însă că acest caz ar trebui să determine prudenţă și nu panică, relatează News.ro citând The Guardian.
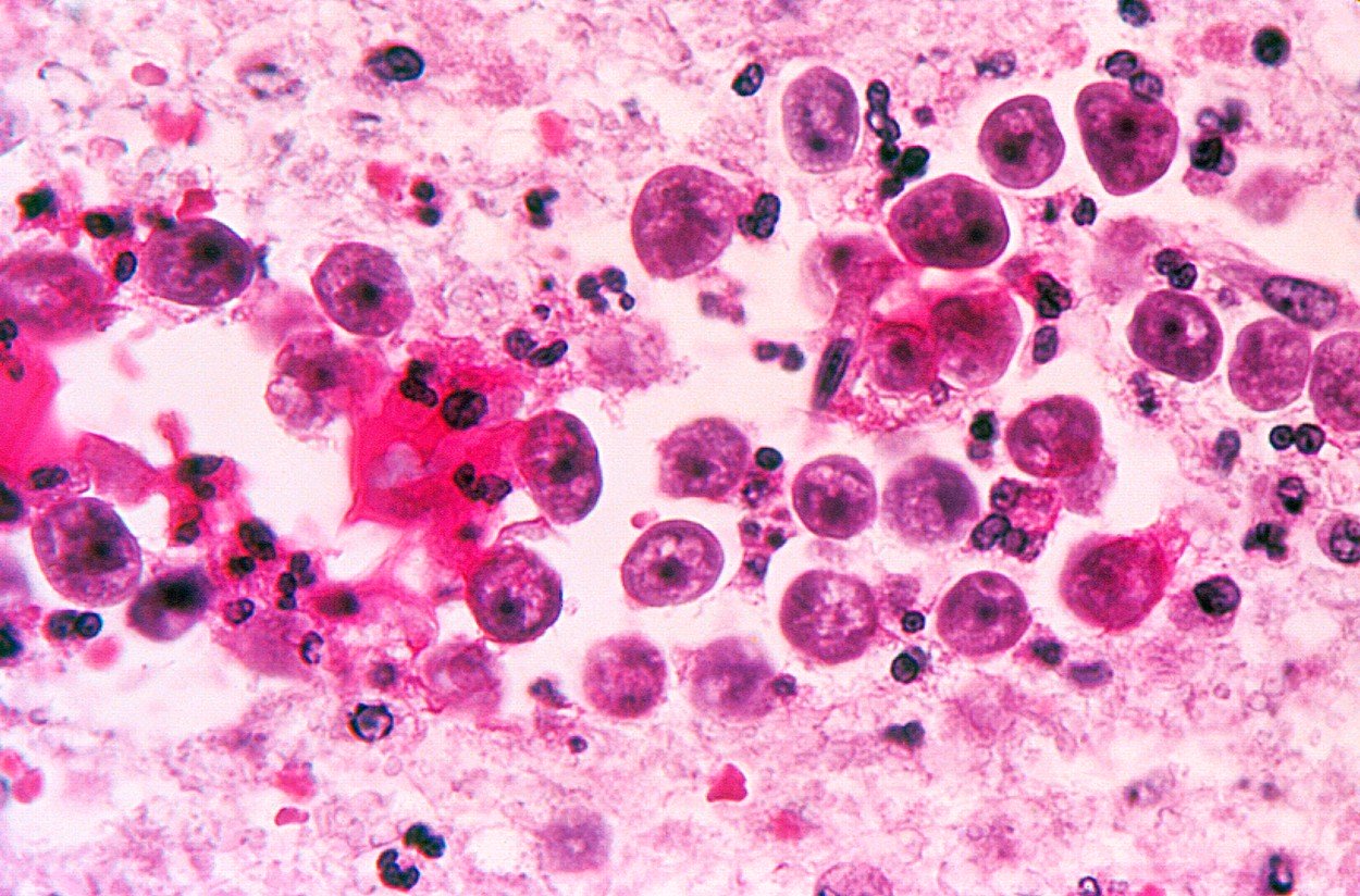
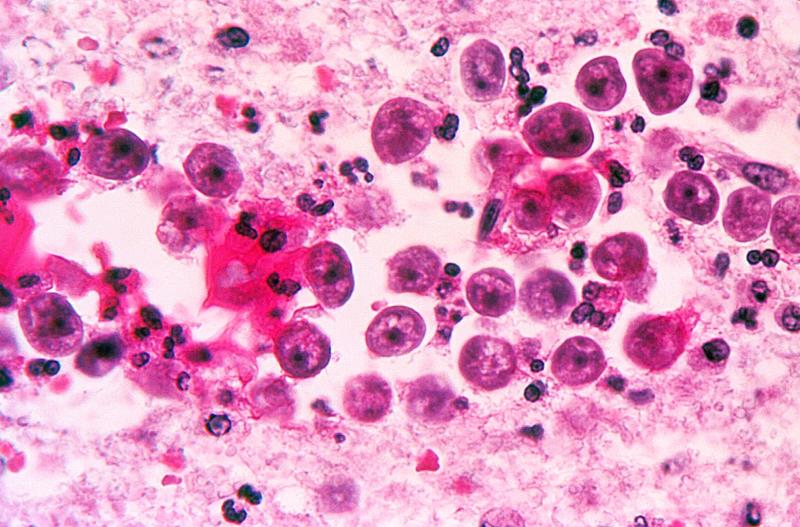
Naegleria fowleriFoto: Science Photo Library / Sciencephoto / Profimedia
Experţii au precizat că moartea unui adolescent din zona Las Vegas din cauza unei amibe rare care mănâncă creierul ar trebui să genereze prudenţă, nu panică, în rândul oamenilor în ceea ce priveşte lacurile de apă dulce, râurile şi izvoarele.
„Atrage atenţia oamenilor din cauza numelui”, a declarat vineri Brian Labus, un fost epidemiolog specializat în sănătate publică, despre organismul natural denumit oficial Naegleria fowleri, dar aproape întotdeauna numit „amiba care mănâncă creierul”.
„Dar este o boală foarte, foarte rară”, a subliniat el.
Anchetatorii cred că adolescentul a fost expus în apele calde ale lacului Mead, posibil în weekendul din 30 septembrie.
Districtul a făcut public cazul miercuri, în urma confirmării cauzei de către Centrul pentru Controlul şi Prevenirea Bolilor din SUA.
Amiba infectează oamenii doar prin intrarea în nas şi migrarea către creier
Centrul pentru Controlul Bolilor a evidenţiat doar 154 de cazuri de infecţie şi deces din cauza amibei în SUA din 1962 și până astăzi, a spus Labus, care predă la Şcoala de Sănătate Publică de la Universitatea Nevada, Las Vegas. Aproape jumătate dintre aceste cazuri au fost în Texas şi Florida. Doar unul a fost raportat în Nevada înainte de această săptămână.
„Nu aş spune că trebuie să fie dată alarma pentru asta”, a spus Labus. „Oamenii trebuie să fie înţelepţi atunci când se află în locuri în care trăieşte de fapt această amibă rară. Organismul se găseşte în ape a căror temperatură variază de la 25 grade la 46 grade Celsius”, a adăugat el.
Districtul şi zona naţională de recreere Lake Mead, care supraveghează lacul şi râul Colorado, au remarcat că amiba infectează oamenii doar prin intrarea în nas şi migrarea către creier. Este aproape întotdeauna fatală.
„Nu poate infecta oamenii dacă este înghiţită şi nu se transmite de la o persoană la alta”, au transmis autorităţile, care i-au sfătuit pe oameni să evite sărituri sau scufundări în ape calde, mai ales în timpul verii, şi să ţină capul deasupra apei în izvoarele fierbinţi sau în alte „ape geotermale netratate”.
„Este fatală în proporţie de 97%, dar poate fi prevenită în proporţie de 99%”, a precizat Dennis Kyle, profesor de boli infecţioase şi biologie celulară şi director al Centrului pentru Boli Tropicale de la Universitatea din Georgia.
Citește și:
-
Actualitateacum 2 săptămâniCompania Românească producătoare de profile PVC, Klass Coating System, prezentă la FENSTERBAU FRONTALE 2026
-
Actualitateacum 2 săptămâniTextura care arată bine azi poate ceda repede: alginatul de sodiu în formule sensibile după prima săptămână
-
Uncategorizedacum O săptămână
• Dyson lansează HushJet™ Purifier Compact: purificare puternică, acum în format compact și ultra-silențios
-
Actualitateacum 2 săptămâniGlafuri PVC de interior pentru ferestre mici – Cum le facem să pară mai mari
-
Uncategorizedacum 2 săptămâniVlad Buzoianu intră pe piața spălătoriilor auto și lansează Washzilla, proiect care pornește la Cluj după o investiție de 500.000 de euro
-
Uncategorizedacum O săptămânăProiectele complexe de software, AI și data duc RebelDot pentru a treia oară în FT1000, topul Financial Times al companiilor europene cu cea mai rapidă creștere
-
Uncategorizedacum 2 săptămâniCursuri de înot pentru adulți: ghid complet pentru începători și avansați
-
Uncategorizedacum 2 săptămâniVozol Switch Pro 800 – un sistem modern pentru utilizatorii care caută flexibilitate și varietate



